Thane
+917071876876

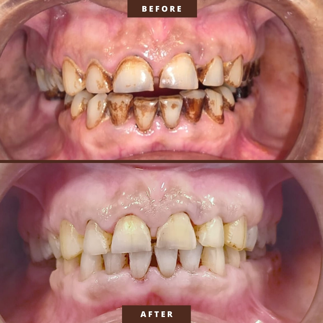
Teeth cleaning or teeth whitening? If the discolo...

update image
Teeth cleaning or teeth whitening? If the discoloration of teeth is due to external deposits or stains, calculus, plaque it can simply be cleared with teeth cleaning. A simple process using high frequency vibrations of a metal tip and water jet directed on teeth. Doesn't damage enamel or gums. There are misconceptions that cleaning might lead to loose teeth, on the contrary if you don't get professional cleaning done and the deposits increase around teeth and gums, that is what leads to loose teeth and gaps between teeth. So, don't listen to people spreading false lies about teeth cleaning and get professional care for your teeth and gums
 2025-03-21T10:48:50

Related Posts

update image

specialisation in Root Canal Treatment

2025-09-25T06:55:57 , update date

 2025-09-25T06:55:57
update image

IMMEDIATE IMPLANT IN THANE

2025-09-23T06:44:16 , update date

 2025-09-23T06:44:16
update image

🌼🙏 Navratri is not just a festival, it’s a celebration of culture, tradition, and unity. Let’s hon...

2025-09-22T08:00:18 , update date

 2025-09-22T08:00:18
update image

ROOT CANAL TREATMENT IN THANE

2025-09-22T07:40:58 , update date

 2025-09-22T07:40:58