Thank you for writing to us. One of our executive will reach back to you through your submitted medium. In case there’s an urgency, feel free to connect over WhatsApp for faster response.
Prefer calling? Dial +919987821876 (International callers) or +919987821876 (Indian callers).
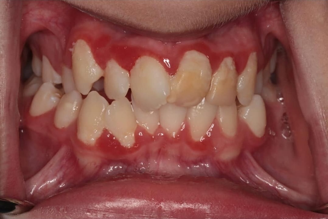
Gum Bleeding While Brushing – Do You Need Teeth Cleaning?
Gum Bleeding While Brushing – Do You Need Teeth Cleaning?
Seeing blood while brushing your teeth can be worrying—and many people wonder whether it’s something to ignore or a sign they need professional help. One of the most common questions we hear is:
“My gums bleed when I brush. Do I really need teeth cleaning?”
The honest answer is:
👉 Yes, in most cases, bleeding gums mean you need professional teeth cleaning.
If you’re in Thane, Mulund, or Mumbai, here’s a clear explanation of why gums bleed, when cleaning is necessary, and how it helps.
Why Do Gums Bleed While Brushing?
Bleeding gums are usually a sign of inflammation caused by plaque buildup.
Common reasons include:
• Plaque and tartar along the gum line
• Early gum disease (gingivitis)
• Inadequate brushing or flossing
• Smoking or tobacco use
• Diabetes
• Hormonal changes (pregnancy)
Healthy gums do not bleed during normal brushing.
Is Bleeding a Sign to Stop Brushing?
❌ No.
Stopping brushing actually worsens the problem.
✔ Gentle but thorough brushing is essential
✔ Use a soft toothbrush
✔ Clean along the gum line
Bleeding usually reduces once the cause is treated.
Do You Need Teeth Cleaning If Gums Bleed?
✅ In Most Cases — Yes
Bleeding gums usually indicate:
• Plaque hardening into tartar
• Bacteria trapped below the gums
Once tartar forms:
❌ Brushing cannot remove it
✔ Professional scaling and polishing is needed
Cleaning removes the irritants causing bleeding.
What Is Professional Teeth Cleaning?
Teeth cleaning (scaling and polishing) involves:
• Removing plaque and tartar above and below gums
• Smoothing tooth surfaces
• Reducing bacterial load
• Allowing gums to heal and reattach
It is a preventive and therapeutic procedure.
Will Cleaning Make Bleeding Worse?
No—although you may notice temporary bleeding during the procedure if gums are inflamed.
This is normal and:
✔ Improves as gums heal
✔ Reduces significantly within days
Long-term bleeding reduces—not increases.
How Soon Does Bleeding Stop After Cleaning?
• Mild cases: 3–5 days
• Moderate inflammation: 1–2 weeks
With proper home care, gums return to health quickly.
When Is Deep Cleaning Needed?
If gum disease is more advanced, your dentist may recommend:
• Deep cleaning (root planing)
• Multiple visits
This cleans bacteria deeper under the gums.
Can Bleeding Gums Be Due to Something Else?
Occasionally, yes:
• Vitamin deficiencies
• Blood disorders
• Certain medications
If bleeding persists despite cleaning, further evaluation is done.
How Often Should You Get Cleaning If Gums Bleed?
• Healthy gums: Every 6 months
• Bleeding gums / smokers / diabetics: Every 3–4 months
Regular maintenance prevents recurrence.
Why Procare Dental LLP Focuses on Gum Health
At Procare Dental LLP (Thane & Mulund), we:
✔ Assess gum health carefully
✔ Use gentle ultrasonic scaling
✔ Provide personalised home-care advice
✔ Monitor healing with follow-ups
We aim to stop gum disease early, before it causes permanent damage.
Final Takeaway
✔ Bleeding gums are not normal
✔ They usually indicate plaque and tartar buildup
✔ Professional teeth cleaning is often necessary
✔ Early treatment is simple and effective
If your gums bleed while brushing, don’t wait.
Book a Gum Health & Cleaning Appointment
📍 Clinics in Thane & Mulund
📞 7071876876
🌐 www.procaredental.in
Procare Dental Clinic (Thane Branch), A1, Prestige Gardens, Nitin company junction, Service Road, next to fire brigade, Ganeshwadi, Thane West, Thane, Maharashtra, India
400602
Thane
India
+919987821876
PROCARE DENTAL
https://www.procaredental.in
1
True
Child Dental Care
Aligners
Braces
Cosmetic Dentistry
Teeth Whitening
Teeth Cleaning
Crowns and Bridges
Dentures
Root Canal
Dental Implants