Thane
08048034152
+917071876876

When Do You Need Clear Aligners? Signs Patients in Thane (Nitin Company Area) Should Not Ignore

Clear aligners have become a popular alternative to traditional braces, especially for adults who want a discreet and comfortable way to straighten their teeth.

If you’re searching for clear aligners in Thane (Nitin Company Area), you may be wondering:

πŸ‘‰ β€œDo I really need aligners?”

Here are the key signs you should not ignore.

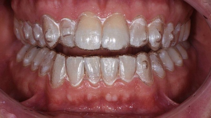
What Are Clear Aligners?

Clear aligners are transparent, removable trays that gradually move your teeth into the correct position.

They are:

  • Nearly invisible
  • Comfortable to wear
  • Removable for eating and brushing

Signs You May Need Clear Aligners

1. Crowded Teeth

When there isn’t enough space in your jaw:

  • Teeth overlap or rotate
  • Cleaning becomes difficult
  • Risk of cavities increases

πŸ‘‰ Aligners help create proper spacing and alignment.

2. Gaps Between Teeth

Spaces between teeth can cause:

  • Food trapping
  • Gum irritation
  • Aesthetic concerns

Aligners can close gaps and improve smile symmetry.

3. Crooked or Misaligned Teeth

If your teeth are not straight:

  • Smile aesthetics are affected
  • Uneven wear can occur

Aligners gradually correct alignment.

4. Bite Problems

Clear aligners can correct mild to moderate bite issues:

  • Overbite
  • Underbite
  • Crossbite

These issues can lead to jaw pain and chewing difficulty if untreated.

5. Teeth Shifting After Braces

If you had braces earlier and notice:

  • Teeth moving back
  • Gaps reappearing

πŸ‘‰ Aligners are ideal for correcting minor relapse cases.

6. Difficulty Maintaining Oral Hygiene

Crowded or misaligned teeth can make:

  • Brushing difficult
  • Flossing ineffective

This increases risk of gum disease and decay.

7. You Want a Discreet Treatment Option

Many adults avoid braces due to appearance.

Clear aligners offer:

  • Invisible treatment
  • Minimal lifestyle disruption
  • Professional-friendly solution

Who Is a Good Candidate?

Clear aligners are suitable for:

  • Mild to moderate crowding
  • Small gaps
  • Minor bite issues
  • Adults and teenagers

Severe cases may still require traditional braces.

Benefits of Clear Aligners

  • Nearly invisible
  • Comfortable (no wires or brackets)
  • Removable
  • Fewer dental visits
  • Better oral hygiene

When Should You Visit a Dentist?

You should consult a dentist if you notice:

  • Crooked or crowded teeth
  • Gaps affecting your smile
  • Bite issues
  • Teeth shifting after previous treatment

Early treatment leads to faster and better results.

Clear Aligners in Thane (Nitin Company Area)

Patients searching for clear aligners near Nitin Company Thane usually look for:

  • Experienced orthodontic care
  • Digital smile planning
  • Customized aligner systems
  • Comfortable treatment experience

At Procare Dental LLP, aligner treatments are designed to deliver effective, aesthetic, and long-term results.

Final Takeaway

Clear aligners are a modern solution for straightening teeth comfortably and discreetly.

You may need aligners if you have:

βœ” Crowded or crooked teeth

βœ” Gaps between teeth

βœ” Bite problems

βœ” Teeth shifting after braces

βœ” Difficulty maintaining oral hygiene

πŸ‘‰ A consultation helps determine whether aligners are the right solution for your smile.

πŸ“ Procare Dental LLP – Thane & Mulund

🌐 www.procaredental.in

πŸ“ž 7071876876

 2026-04-01T10:13:38

Keywords