Thane
08048034152
+917071876876

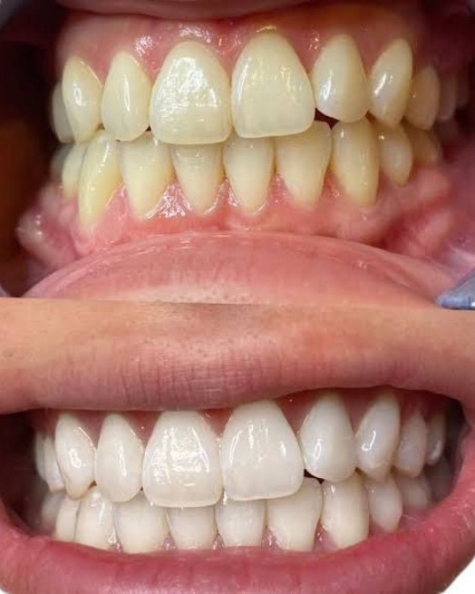
Teeth Whitening Near Me – Options Explained

Looking for “teeth whitening near me” in Thane, Mulund, or Mumbai? You’re not alone — a brighter smile is one of the most popular cosmetic dental goals. But with so many options out there, it’s easy to get confused about what actually works.

This guide breaks down the most effective whitening options available locally, what they do, and which one may be best for your smile.

🦷 Why Professional Whitening Is Better Than DIY

Before we explore specific treatments, here’s an important fact:

👉 Professional teeth whitening delivers safer, more predictable, and longer-lasting results than over-the-counter products.

Why?

✔ Custom fit

✔ Supervised strength

✔ Personalised to your teeth

✔ Controlled use to minimise sensitivity

✔ Visual shade monitoring by your dentist

Now let’s look at the most common options.

🔹 1. In-Office Professional Whitening

Best for:

✔ Fastest results

✔ Special occasions (weddings, photos, events)

✔ Deep set stains

How it works:

Your dentist applies a high-strength whitening gel to your teeth and may use a light or laser to activate it. This boosts the effect and can achieve noticeable results in one session.

Benefits:

• Instant transformation

• Dentist-controlled strength

• Visible improvement in one visit

Who it’s ideal for:

Busy professionals, event-ready smiles, quick shade improvement.

🔹 2. Custom Take-Home Whitening Trays

Best for:

✔ Gradual whitening

✔ Sensitive teeth

✔ Flexible schedule

How it works:

Your dentist takes digital scans of your teeth and fabricates custom trays. You apply professional-strength whitening gel at home, usually nightly for a week or two.

Benefits:

• Gentle & gradual

• Comfortable for sensitive cases

• Costs less than in-office

Who it’s ideal for:

People who want effective results without quick sensitivity.

🔹 3. Combination Approach (Office + Take-Home)

Best for:

✔ Long-lasting results

✔ Deep stains

✔ Sensitive cases that still want great effect

How it works:

You get a strong in-office whitening first, then follow with custom trays at home for fine-tuning and maintenance.

Benefits:

• Balanced power + comfort

• Longer-lasting results

• Less sensitivity than full in-office only

Who it’s ideal for:

Those who want both speed and longevity.

❌ 4. Over-The-Counter Whitening Kits

You’ve seen them — strips, paint-on gels, whitening toothpaste.

The truth:

These may lighten surface stains slightly, but they are not comparable to dentist-supervised whitening because:

• They lack customised fit

• Strength is limited

• Can cause uneven results

• Often irritate gums if used incorrectly

They’re okay for very mild maintenance — but not for a bright, confident smile.

🦷 What Affects Whitening Results?

Your results depend on:

✔ Your natural tooth colour

✔ Type of stain (surface vs deep)

✔ Diet (tea, coffee, masala, spices)

✔ Smoking or tobacco habits

✔ Gum health and enamel thickness

A dental exam — especially in Mumbai’s humid climate where staining is common — is essential before whitening.

💡 Maintain Your Whitening Results

After whitening:

✔ Rinse mouth after tea/coffee

✔ Brush twice daily

✔ Floss regularly

✔ Avoid tobacco

✔ Professional cleaning every 6 months

This keeps your smile bright for longer.

✨ Safe Whitening Starts with a Check-Up

At Procare Dental LLP, your whitening journey begins with:

✔ Oral health evaluation

✔ Cleaning if needed (mandatory before whitening)

✔ Sensitivity assessment

✔ Custom treatment plan

This ensures effective, comfortable, and safe results — not shortcuts.

📍 Where to Find Safe Whitening Near You

Our dental clinics in Thane & Mulund offer all major whitening options — in-office, take-home trays, and combination plans tailored to your smile and lifestyle.

📞 Book a Whitening Consultation

📍 Thane & Mulund

📞 7071876876

🌐 www.procaredental.in

 2026-02-28T06:43:02

Keywords