Thane
08048034152
+917071876876

Root Canal Treatment in Thane (Nitin Company Area): Cost, Procedure & Recovery Time Explained

If you're experiencing severe tooth pain, sensitivity, or infection, your dentist may recommend a root canal. Patients searching for root canal treatment in Thane (Nitin Company area) usually want to understand three things:

πŸ‘‰ Cost, procedure, and recovery time

Here’s a complete patient-friendly guide.

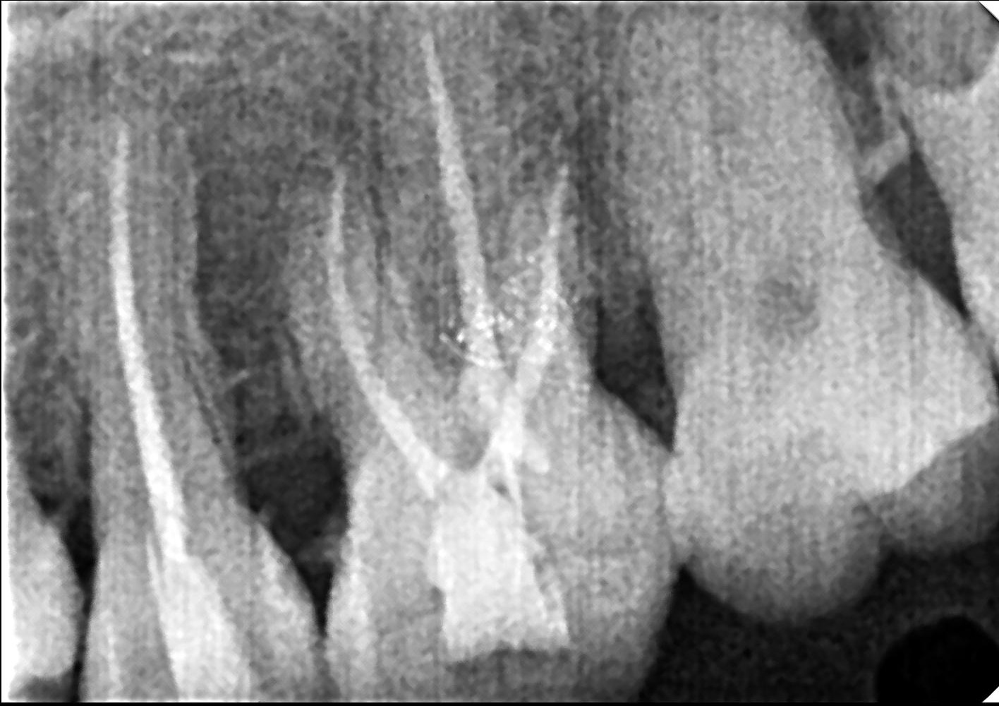
What Is Root Canal Treatment?

Root canal treatment (RCT) is a procedure used to:

  • Remove infected pulp inside the tooth
  • Clean and disinfect the root canals
  • Seal the tooth to prevent reinfection

πŸ‘‰ It helps save your natural tooth and eliminate pain.

Cost of Root Canal Treatment in Thane & Mumbai

The cost depends on tooth type, complexity, and technology used.

πŸ’° Average Cost Per Tooth

  • Basic RCT: β‚Ή5,000 – β‚Ή8,000
  • Advanced RCT (molars/complex cases): β‚Ή8,000 – β‚Ή12,000
  • Single-sitting / advanced techniques: β‚Ή10,000 – β‚Ή16,000+

πŸ’° Retreatment (if infection returns)

  • β‚Ή7,000 – β‚Ή15,000

πŸ’° Crown Cost (After RCT)

  • PFM crown: β‚Ή3,500 – β‚Ή6,000
  • Zirconia crown: β‚Ή8,000 – β‚Ή12,000+

πŸ‘‰ A crown is usually recommended to protect the treated tooth long-term.

Step-by-Step Root Canal Procedure

1. Consultation & Diagnosis

Time: 10–15 minutes

  • Dental examination
  • Digital X-ray to assess infection

At Procare Dental LLP, digital diagnostics help ensure accurate treatment planning.

2. Local Anaesthesia

Time: 5–10 minutes

  • Area is numbed completely
  • Ensures a painless procedure

3. Cleaning & Shaping

Time: 20–40 minutes

  • Infected pulp is removed
  • Canals are cleaned and shaped using rotary instruments

4. Filling the Canals

Time: 10–20 minutes

  • Canals are sealed with biocompatible material

5. Temporary or Permanent Filling

Time: 10 minutes

  • Tooth is sealed
  • Temporary filling may be placed

6. Crown Placement (Final Step)

  • Done in a second visit (if needed)
  • Restores strength and function

Total Time for Root Canal Treatment

  • Front teeth: 30–45 minutes
  • Premolars: 45–60 minutes
  • Molars: 60–90 minutes

πŸ‘‰ Many cases are completed in a single sitting, especially with advanced technology.

Recovery Time After Root Canal

Recovery is usually quick and comfortable.

What to Expect:

  • Mild sensitivity for 1–2 days
  • Slight discomfort while chewing
  • Normal routine can resume the same day

πŸ‘‰ Full healing occurs within a few days.

Is Root Canal Painful?

❌ No β€” modern root canal treatment is not painful.

βœ” Done under anesthesia

βœ” Feels similar to a dental filling

βœ” Relieves existing pain

Factors That Affect Cost

  • Tooth position (front vs molar)
  • Severity of infection
  • Need for retreatment
  • Technology used (microscope/laser)
  • Dentist expertise

When Do You Need a Root Canal?

You may need RCT if you have:

  • Severe tooth pain
  • Sensitivity to hot/cold
  • Swelling or infection
  • Deep decay or cracked tooth

Choosing the Right Dentist in Thane

Patients searching for root canal near Nitin Company Thane should look for:

  • Experienced dentists or endodontists
  • Rotary and digital technology
  • Painless treatment approach
  • Clear cost explanation

At Procare Dental LLP, treatments are planned for comfort, precision, and long-term success.

Final Takeaway

Root canal treatment is a safe, effective, and pain-relieving procedure.

βœ” Cost: β‚Ή5,000 – β‚Ή12,000+ per tooth

βœ” Time: 30–90 minutes per visit

βœ” Visits: Often single sitting

βœ” Recovery: Quick (1–3 days)

πŸ‘‰ It helps you save your natural tooth and avoid extraction.

πŸ“ Procare Dental LLP – Thane & Mulund

🌐 www.procaredental.in

πŸ“ž 7071876876

 2026-04-01T09:31:35

Keywords