Thane
+917071876876

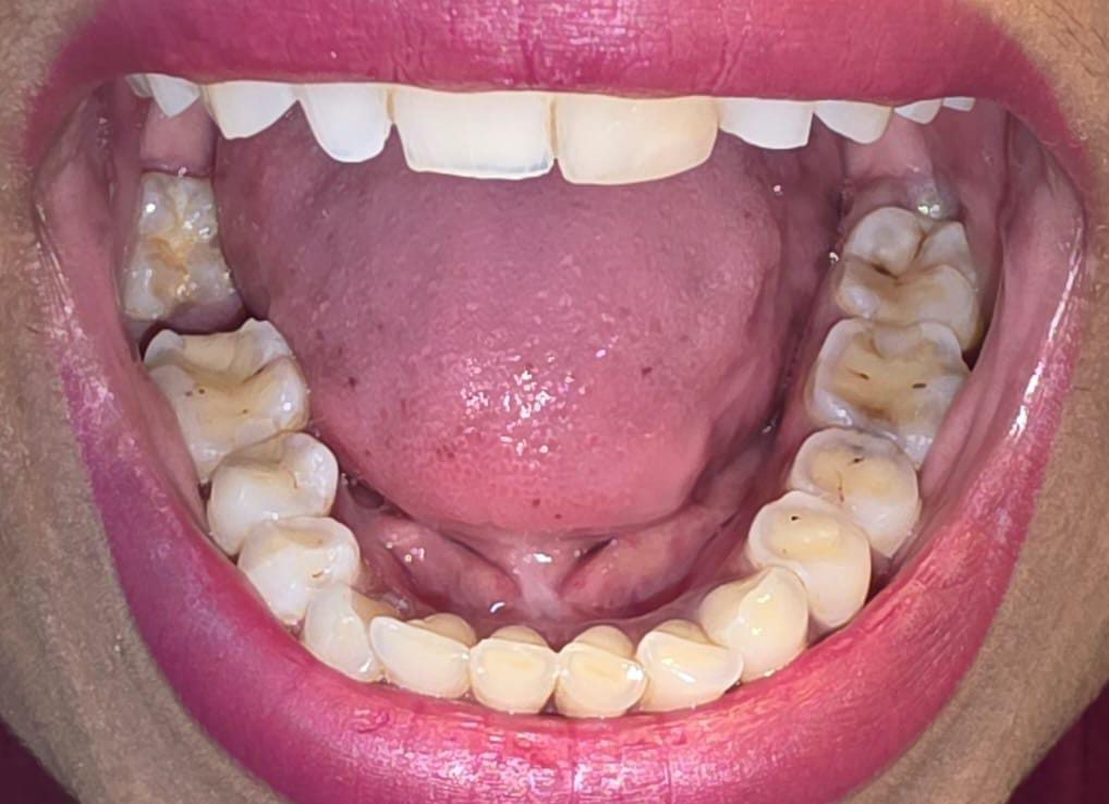
Continuous teeth grinding/clenching Para functio...

update image
Continuous teeth grinding/clenching Para functional habits can cause severe damage to teeth enamel and lead to flatter teeth anatomy, exposure of dentin, severe tooth sensitivity, pain and tightness of muscles, pain in ear, clicking sounds on opening and closing of jaws. Don't ignore all these signs and immediately see a dentist to avoid irreversible damage and correct the bite and prevent further deterioration.
 2025-03-21T11:07:03

Related Posts

update image

specialisation in Root Canal Treatment

2025-09-25T06:55:57 , update date

 2025-09-25T06:55:57
update image

IMMEDIATE IMPLANT IN THANE

2025-09-23T06:44:16 , update date

 2025-09-23T06:44:16
update image

🌼🙏 Navratri is not just a festival, it’s a celebration of culture, tradition, and unity. Let’s hon...

2025-09-22T08:00:18 , update date

 2025-09-22T08:00:18
update image

ROOT CANAL TREATMENT IN THANE

2025-09-22T07:40:58 , update date

 2025-09-22T07:40:58