Thank you for writing to us. One of our executive will reach back to you through your submitted medium. In case there’s an urgency, feel free to connect over WhatsApp for faster response.
Prefer calling? Dial +919987821876 (International callers) or +919987821876 (Indian callers).
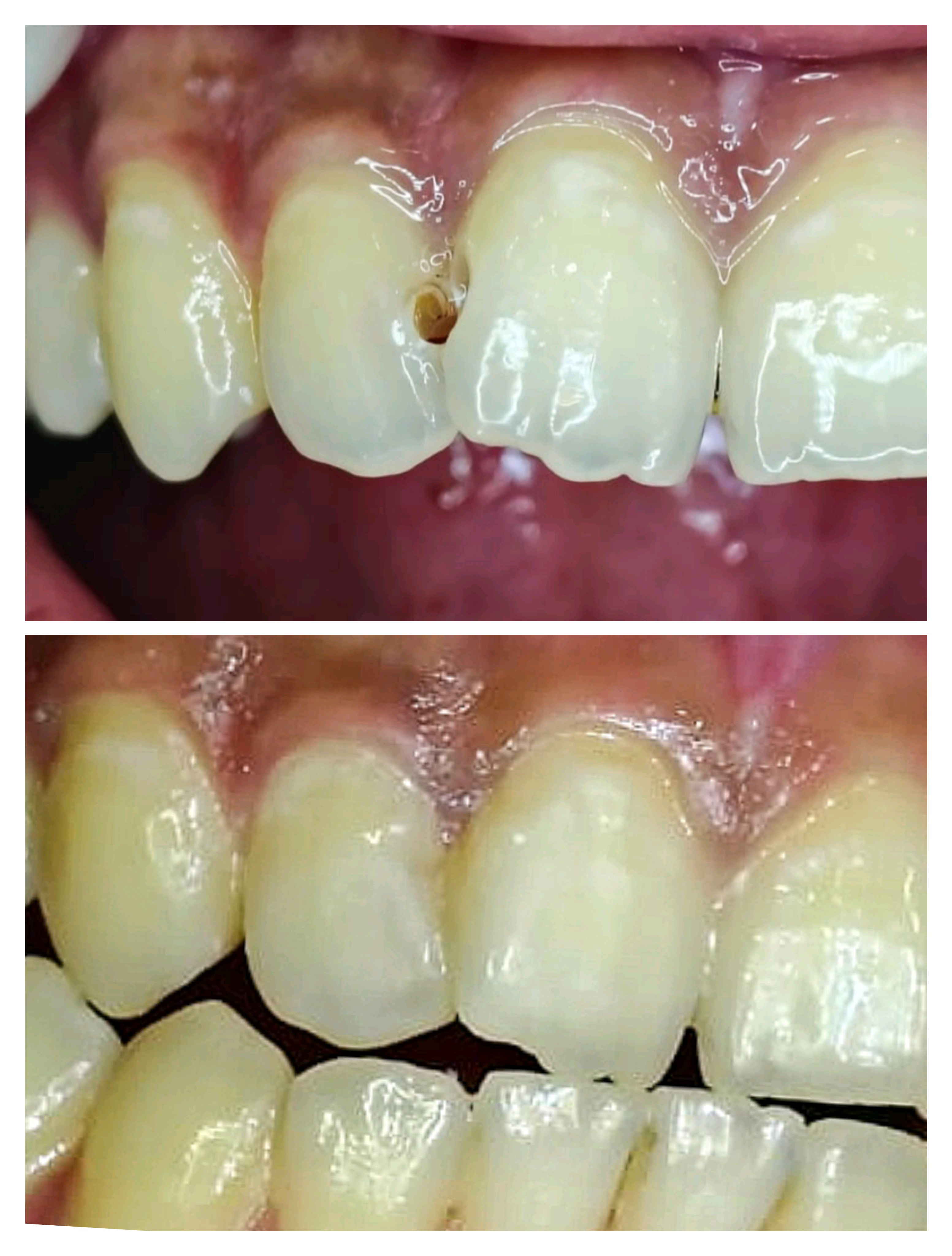
Bonding and Tooth coloured Fillings can restore yo...
Bonding and Tooth coloured Fillings can restore your beautiful smile and if done in time can prevent the need of a root canal. So book your appointment today at the # best dental clinic in thane and mulund, and that's Procare Dental clinic. These fillings match perfectly to your natural tooth colour and are long lasting.
Procare Dental Clinic (Thane Branch), A1, Prestige Gardens, Nitin company junction, Service Road, next to fire brigade, Ganeshwadi, Thane West, Thane, Maharashtra, India
400602
Thane
India
+919987821876
PROCARE DENTAL
https://www.procaredental.in
1
True
Child Dental Care
Aligners
Braces
Cosmetic Dentistry
Teeth Whitening
Teeth Cleaning
Crowns and Bridges
Dentures
Root Canal
Dental Implants